Diagnostics
Preparation is key to successful Fluorescein Angiography
Understanding the procedure behind preparing the patient and proper sequencing will help ensure desired results
Tim Bennett, CRA, OCT-C, FOPS, Hershey, Pa.
Since the early 1960s, ophthalmologists have used fluorescein angiography as a diagnostic tool in the treatment of several retinal disorders, including diabetic retinopathy and macular degeneration, two common causes of blindness. This diagnostic procedure captures rapid-sequence photographs of the retinal vasculature following an intravenous injection of a fluorescent dye, fluorescein sodium.
The value of this technique lies in its ability to “tell a story.” Where is the dye going? How long does it take to get there? The answers to these and other questions help the physician arrive at a diagnosis or form a treatment plan. To tell the whole story, photographs need to be captured at several time points during the procedure. It is a dynamic process that depends on thorough preparation before the dye is injected. Many angiographers follow a specific protocol or checklist to ensure that everything is ready. Good communication between the ordering ophthalmologist and angiographer is essential to ensure that maximum diagnostic information is obtained.
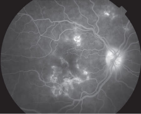
Fluorescein angiography showing early acute posterior multifocal placoid pigment epitheliopathy
Complications and Reactions
Fluorescein is well tolerated by most patients, but angiography is an invasive procedure with an associated risk of complication or adverse reaction. Adverse reactions occur in 5% to 10% of patients and can range from mild to severe. Transient nausea and occasional vomiting are the most common reactions and usually require no treatment. More severe reactions are rare, but include hives, laryngeal edema, bronchospasm, syncope, anaphylaxis, myocardial infarction and cardiac arrest.
Extravasation of fluorescein dye into the tissue surrounding the vein during the injection can be a painful complication of angiography. With proper injection technique, this complication can usually be avoided. Although life-threatening reactions during angiography are rare, the clinic should be properly equipped and prepared to manage serious reactions to the procedure. It is generally recommended that a physician be present or immediately available during angiography.
The responsibility for injecting fluorescein dye sometimes falls to the angiographer or a technician. Be sure to check your current state or local laws regarding the credential requirements for personnel that may legally perform intravenous injections. Angiographers performing intravenous injections should have documented training in venipuncture, IV administration of dyes, and universal precautions. CPR training of all clinic personnel is also a good idea in the context of invasive procedures like angiography.
Preparing the Patient
Review the chart and any specific orders or instructions from the physician. Explain the procedure and expected side effects and potential complications. Be sure to include details you would want to know if you were the patient. Give them the opportunity to ask questions. Get a good history as it relates to angiography: Have they had an angiogram in the past? Were there any complications? Are there any issues with venous access? Do they have any allergies?
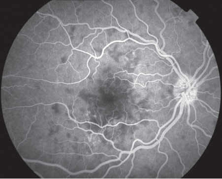
Fluorescein angiography showing late acute posterior multifocal placoid pigment epitheliopathy
Women of child-bearing age should be asked if they may be pregnant or nursing. Although there are no known risks or adverse reactions associated with pregnancy, most practitioners will defer angiography in pregnant women, especially in their first trimester. Nursing mothers should be cautioned that fluorescein is excreted in human milk so they can plan accordingly.
I always let patients know that there’s a slight chance they may feel a brief wave of nausea after the dye is injected. Being prepared for this possibility makes it easier to manage the patient in the event they do react to the dye. It is important to go through these steps even if the physician has already explained the procedure during an informed consent discussion. It allows you to build a rapport and helps prepare both you and the patient for any contingencies that may arise during the procedure.
Once the procedure has been discussed, color fundus photographs as well as black-and-white monochromatic green filter (red free) images are routinely taken before administering the dye. These baseline views document the clinical appearance of the retina and give the patient an idea of what they can expect during the angiogram. It also allows you to view the area of interest and assess the condition of the pupil and clarity of the ocular media prior to injection. Armed with this information, you can devise a photographic plan.
Sequencing
Proper sequencing of the angiographic series is essential in obtaining maximum diagnostic information. The early transit phase is the most critical part of the angiogram and usually lasts less than a minute. Before injecting the dye, center the illuminating beam of the fundus camera within the dilated pupil. Prefocus the camera on the appropriate area of interest and take a “control photo” at normal fluorescein exposure settings to document the effectiveness of the barrier filter in blocking excitation wavelengths. The dye is administered as a quick bolus injection, typically into an antecubital vein. You should synchronize the timer with the start of the injection. The arm-to-retina circulation time can vary, but in a normal patient takes 10-15 seconds. With experience, you will learn to anticipate the initial appearance of the dye and begin rapid sequence photography before the dye is visible through the viewfinder or on the monitor. Images are routinely captured at a rate of one frame per second until maximum fluorescence occurs, usually about one minute post injection. During this dynamic early phase, only one eye can be captured. In the seconds it takes to switch from one eye to the other, valuable information could easily be missed. Again, this is a situation where communication with the physician can ensure that you get the images they need at the appropriate time points.
After completion of the early phase, you can take photographs of the fellow eye or other areas of interest in the retina. Over the next few minutes the appearance of the dye stabilizes and begins to slowly fade. You can capture appropriate views as necessary without the urgency needed during the early phase. Late-phase photographs are taken as the dye dissipates, typically between 7 to 15 minutes after injection.
Many angiographers implement disease-specific protocols for sequencing and appropriate fields of view. For example, you can capture peripheral shots of the retina after an early transit of the macula in diabetic retinopathy. In macular degeneration, the macula or posterior pole is the major area of interest and peripheral views are not always necessary. You can also adjust the specific protocol based on changes you may notice as the angiogram progresses. Be sure to monitor the patient for any discomfort throughout the procedure. Some patients are reluctant to admit that something is wrong, fearing the images may be compromised if they don’t just “tough it out.” We record all reactions to the procedure so we are better prepared if the patient presents for a follow-up angiogram.
Maximizing Quality
When conditions are favorable, angiographic images can be quite dramatic and worthy of display or publication. There are a number of common factors however that can adversely affect angiographic quality. They include: the presence of media opacities, inadequate pupillary dilation, poor fixation, inadequate patient cooperation and extravasation of the dye. Some of these factors are beyond the direct control of the angiographer, but every attempt should be made to minimize their detrimental effects. The goal is to ensure that each angiogram be of adequate quality to tell the diagnostic story. OP
|
Mr. Bennett is an ophthalmic photographer in the Penn State University Department of Ophthalmology at Milton S. Hershey Medical Center. He is a nationally recognized author, lecturer and educator in the field of ophthalmic photography and has served as president of the Ophthalmic Photographers’ Society. |







